Qué es el síndrome de Down

Un trastorno cromosómico

portada2

 

¿En qué consiste?

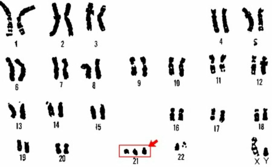
El Síndrome de Down es un trastorno genético que consiste en una alteración, por causa desconocida, en los cromosomas de los progenitores. Esta irregularidad,  produce un cromosoma extra en el proceso de concepción, cuando lo habitual es que existan sólamente dos cromosomas. De este anómalo proceso nace el nombre de la trisomía 21.

Aunque en ningún caso hay evidencias de que este trastorno cromosómico, a la larga, pueda producir lesiones graves que alteren la calidad de vida del paciente, si se han encontrado múltiples disfunciones intelectuales que, lógicamente, merman el desarrollo cognitivo de los pacientes que lo padecen. El síndrome de Down es la principal causa de discapacidad intelectual existiendo un caso por unas 700 concepciones.
 

¿Quién les apoya?

Dado que esta disfunción cromosómica existe o al menos es conocida, desde mediados del siglo XX ya existen a nivel mundial diversas asociaciones que se encargan de hacer la vida más llevadera, a pacientes y a familiares con este trastorno. En España hay cerca de 83 asociaciones diferentes que presntan apoyo a las familias desde el momento en el que los padres reciben la noticia de que su hijo es portador de esta irregularidad cromosómica.
 

¿Se puede prevenir?

A pesar de que los medios de comunicación se encargan en repetir, erróneamente, que el Síndrome de Down es una enfermedad, lo cierto es que no lo es, por ello no precisa de un tratamiento específico. Es más, es imposible, por el momento, prevenirlo, porque se desconocen las causas que originan esta disfunción genética.

No obstante, existen casos de niños que nacen con Down que sí presentan alteraciones en sus órganos, tales como cardiopatías, hipertensión pulmonar, problemas auditivos, o de tipo tiroideo, pero insistimos, que sólamente se da en algunos casos y se presentan de igual manera a un paciente 'al uso', que no tenga Síndrome de Down.

down1

 

¿Se puede saber antes de que nazca el bebé?

Efectivamente, hoy en día hay pruebas que la futura madre puede hacerse para conocer, aunque de manera aproximada, si el bebé o el feto que está en camino puede ser portador de Síndrome de Down.

Una de ellas, se realiza en el primer trimestre del embarazo, cuando se examina el cuello del feto. En el segundo trimestre, con el análisis de sangre de la madre o la tripe prueba, se dan resultados ecográficos más completos. Pero sin duda, es en la Amniocentesis, donde la madre sabrá con mayor exactitud si su bebé puede traer problemas congénitos o cromosómicos, como este síndrome.
 

¿Hay nuevas investigaciones?

En la Actualidad, existen diversos estudios que suponen un paso más en la detección temprana del Síndrome de Down sin que este análisis ponga en riesgo al feto. (Aunque el riesgo es de un porcentaje de aborto de 1 por cada 100 casos) Como el último de la Universidad de Standford, en el que, en teoría, se podría detectar a partir de un simple análisis de ADN de la madre.

El estudio se ha realizado ya en 18 mujeres embarazadas de Estados Unidos pero los investigadores van a repetir la experiencia. Si todo saliese con éxito, probablemente, estaríamos hablando de la primera prueba que sustituiría a la famosa y polémica Amniocentesis.

cromosomas


 


¿Qué tipos de Síndrome de Down hay?

Existe una tipificación que resume en 3 los tipos de Síndrome de Down conocidos en la actualidad. El primero es el más común, pero te hablamos de todos ellos:

    Trisomía 21

 

Como decíamos, es el tipo de Síndrome más común. El par cromosómico 21 del óvulo, o del espermatozoide, no se divide 'como debería', por lo que se produce un error genético, que hace que uno de los gametos contenga 24 cromosomas en lugar de 23.

 

  Translocación cromosómica

 

Este caso es más raro que el primero. Lo que se produce es que un cromosoma 21 se rompe, como si fuese más 'débil', y esto provoca que alguno de los fragmentos en sí, o todo el cromosoma se una de una manera anómala a otra pareja, generalmente  ala pareja 14 . Lo que conlleva que la pareja 14 tenga un nuevo cromosoma extra 'que no debería estar ahí'.

 

  Trisonomía en mosaico 

 

Se produce cuando se mezclan tipos cromosómicos distintos 'de diferentes familias cromosómicas', para entendernos. Las personas con mosaicismo o este tipo de trisonomía suelen presentar menor grado de discapacidad intelectual y en algunos casos, características fisionómicas más leves que los rasgos habituales a los que estamos acostumbrados.

 

down3


 

 

Información y naturalidad

Según un estudio de 2010, más del 95% de los embarazos en los que fue detectado el síndrome de Down, terminaron en aborto. Por esta razon, disminuye el nacimiento de niños con este síndrome en nuestro país, mientras que, lógicamente aumentan los diagnósticos precoces.

Afortudadamente, el Síndrome de Down es un trastorno que cada vez está más presente y más normalizado en nuestra sociedad, sin embargo, como decíamos, tanto las asociaciones de familias como las de médicos y expertos en el tema, pueden ayudar considerablemente a todos aquellos que deseen tener más información para tratar a estos niños y adultos especiales.

Si tienes un niño con Síndrome de Down, en la parte inferior te señalamos algunos lugares donde puedes acudir en la red.

Agradecimientos: a la web Sindrome de Down.net y a la Fundació Catalana de Síndrome de Down.  a Conecta Down España. y a ASDRA, /Asociación argentina de Síndrome de Down) por las fotografías. Por último, al Espectador.com por la foto de portada.
¿Vulnera este post tus derechos? Pincha aquí.
Modificado:
¿Qué te ha parecido esta idea?

Recomendamos

Relacionado

consejos

Cada vez son más los profesionales de la ginecología que recomiendan la opción del test prenatal no invasivo para diagnosticar el Síndrome de Down durante del embarazo, independientemente de la edad de la madre. Las pruebas de detección pueden indicar la probabilidad o posibilidad de que una madre esté embarazada de un bebé con síndrome de Down. Pero estas pruebas no pueden asegurar o diagnosticar ...

síndrome de down bebés riesgo enfermedades bebés ...

Ya que no se ha tocado demasiado este tema todavía, he pensado en introducir en nuestra sección de salud de vez en cuando un post sobre determinadas enfermedades que no se han comentado. Específicamente se va a hablar acerca del Síndrome de Down, trastorno genético de origen desconocido que se puede diagnosticar en el embarazo, que no tiene cura y que se da aproximadamente en 1 de cada 1000 nacimi ...

Problemas en el Desarrollo de los niños

El nacimiento de un bebé con síndrome de Down produce emociones encontradas, incertidumbre y miedos, en el seno de nuestras familias. Son muchas las preguntas y las respuestas necesarias. Pero hoy se sabe que padres y familiares pueden ir evolucionando desde las reacciones iniciales y naturalmente ligadas al manejo de la ansiedad, como la negación y la tristeza, hacia respuestas adaptativas más sa ...

zFeatured sindrome de down

CINCO LOCALES DE SUBWAY CELEBRAN A LAS PERSONAS CON SÍNDROME DE DOWN Ecuador, Marzo 2016.- El 21 de Marzo se celebra el Día Mundial del Síndrome Down. Esta fecha (3/21) es reconocida por organizaciones como las Naciones Unidas, y representa la trisomía del cromosoma número 21, lo cual crea dicha condición genética. Se estima que en el mundo existen alrededor de 6 millones de personas con síndrome ...

sindrome down juguetes y niños sd

FUENTE La familia que tenga un niño con síndrome de Down debe conocer a fondo los cuidados y atenciones que necesita, el niño que padece este síndrome y ha sido estimulado correctamente será capaz de jugar solo y divertirse, pero de igual forma necesita la compañía de sus padres y familiares, compartir actividades y juegos con él. Gracias al juego se pueden reforzar los lazos en la familia al igu ...

Escuela de familia blog cromosoma 21 ...

Esta semana hemos celebrado el Día Mundial de las personas con Síndrome de Down. Una jornada para sensibilizar y sobre todo para “normalizar”. Coincidiendo con este día, conocimos la existencia de un blog que ha nacido con la idea de ayudar a familias que esperan la llegada de un niño con este síndrome e incluso para compartir experiencias. La redacción de TUMINIYO se puso en contacto  con Carmen ...

general niños lenguaje ...

El pasado día 21 de marzo fue el Día Internacional del Síndrome de Down. A grandes rasgos, el síndrome de Down consiste en la duplicación de parte del par cromosómico 21, lo que hace que las personas que tienen síndrome de Down tengan tres cromosomas en este par, en lugar de dos, que es lo HABITUAL. Observaréis que he utilizado la palabra "habitual" y no "normal". Tiene una exp ...

Información Noticias Vivencias ...

Hoy se celebra mundialmente el Día del Síndrome Down, ya se han podido ver a lo largo de estos días varias noticias acerca de niños y personas con Síndrome Down y también varios spot publicitarios. Entre ellos un anuncio de televisión que se está haciendo viral y que llega el hastag #xtumirada Me gustaría desde aquí exponeros mi opinión acerca de una cosa que me ha molestado mucho estos días acer ...

Información 21 de marzo Día Mundial del Síndrome Down ...

Hoy día 21 de marzo se celebra el  Día Mundial del Síndrome Down, un día en el que se intenta que las personas con Síndrome Down tenga una visibilidad normalizada en la sociedad, hoy se lucha por ello y se pretende que se vean como iguales día a día. Para este año han realizado un vídeo muy humano, muy natural en el que nos explican como quieren sentirse, como les gustaría que la sociedad los viér ...

Especiales de Fundaciones Asociaciones ONG...

A partir de las nueve de la mañana y hasta las 12 del mediodía, Fundadown comenzará la novena edición de su celebración del Día Mundial del síndrome de Down, contando con el apoyo de más de 40 voluntarios y la asistencia de varios centros educativos dedicados a la educación de personas con dicha condición, quienes se reencontrarán en un espacio para la recreación e integración sana y agradable. El ...