Efectos negativos de chuparse el dedo y del chupete

Que los peques de la casa se chupen el dedo pulgar es algo muy común. Se trata de un reflejo natural que adquieren durante el tiempo que están dentro de sus mamás y que una vez que nacen algunos mantienen.

Para que ese reflejo pueda activarse necesitan algo que succionar, principalmente el pecho materno, que es lo que la naturaleza ha previsto para ello, aunque los bebés que más necesitan succionar pueden llegar a aprovechar la forma de su dedo para hacerlo igualmente, tal y como muchos fetos hacen en el útero materno.

La succión del dedo pulgar para los peques es una forma de relajarse, de confort, incluso les ayuda a conciliar el sueño. Pero hasta ahí lo bonito de éste hábito, os recomiendo papis que vigiléis que vuestro pequeño no mantenga esta costumbre mas allá de los cuatro años, y si podemos eliminarlo antes mejor.

El uso del chupete al igual que la succión del dedo, es necesario en nuestros hijos, es un sustituto del pecho materno que no alimenta pero que permite al bebé succionar y recuperar la calma, protector de la muerte súbita sobre todo en los bebés que no toman pecho, pero que puede provocar, si lo alargamos en el tiempo, problemas en la boca de nuestros hijos.

Problemas relacionados con la succión del dedo.

Debido a que el dedo es mucho mas duro que el chupete, y que es mas complejo deshacernos de él porque lo llevamos todo el tiempo con nosotros, las malformaciones producidas en la boca por este hábito suelen ser bastante importantes. Veamos cuales son:

Cambio de orientación de las arcadas dentarias: el maxilar superior se desplaza hacia delante y la mandíbula o maxilar inferior se desplaza hacia atrás.

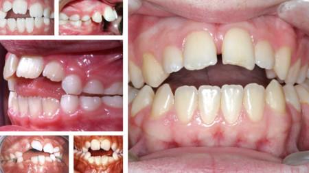
Maloclusión dentaria: al estar el dedo interpuesto entre los dientes de arriba y de abajo, no hay contacto entre ellos. Los dientes superiores se van desplazando hacia delante dejando un hueco creado por el dedo, cuando el dedo no está en la boca se ve claramente que hay una mordida abierta, los dientes anteriores no tienen contacto.

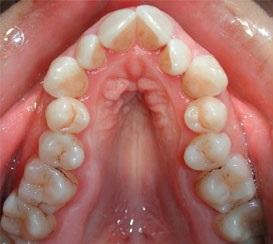
Deformación del paladar: debido a la fuerza que ejerce el dedo hacia arriba durante la succión del dedo el paladar modifica su forma haciéndose cada vez mas convexo, mas estrecho. A esta deformación la llamamos paladar ojival.

Insuficiencia en el desarrollo del maxilar superior: la  posición que tiene que adquirir la lengua al ocupar el dedo su espacio en relación al maxilar superior hace que éste no se desarrolle al mismo tiempo que el resto de los huesos del cráneo.

Alteraciones del lenguaje: a causa de todas las modificaciones en el paladar, en los dientes y en la lengua, todos ellos imprescindibles a la hora de hablar, la pronunciación de algunos fonemas se puede ver afectada como pueden ser /t /, /d/ y /l/. También puede ocasionar ceceo o seseo.
Seguro que con estas ilustraciones  lo vais a entender mejor. Al final del post tenéis un vídeo también para que veáis como se va formando la mordida abierta.
paladar ojival
Paladar ojival.

mordiada abierta por succión del dedo pulgar
Mordida abierta.

Consejos para que los peques dejen de chuparse el dedo.

Explica a tu hijo con palabras sencillas porqué debe dejar de chuparse el dedo, de éste modo el niño podrá entender las posibles consecuencias que éste acto tiene.

Involucra al niño mediante premios, si no te chupas el dedo, iremos al parque…. o anotar los días que no se chupa el dedo y premiar al final de la semana si ha habido mejoría. Se trata que sea un juego para ellos.

Se puede poner cinta adhesiva, un barniz amargo o un guante, tendrás que explicarle porqué haces eso, que no lo entienda como un castigo. Hay guantes específicos para ello. Al final de los consejos os pongo el enlace a ellos por si os interesa.

Deberás estar atent@ sobre todo cuando el niño esté solo, porque será el momento mas probable que se chupe el dedo, tendrás que proponerle actividades como dibujar para que esté entretenido y no lleve el dedo a la boca.

Hay cuentos que puedes leerles, incluso si ya son mayores que lean ellos, que pueden ayudar también. Mas abajo te dejo el enlace de uno.
Ármate de paciencia, por que no va a eliminar éste hábito de un día para otro.

Guantes para dejar de chuparse el dedo

Cuento Bibi ya no se chupa el dedo

Problemas relacionados con el uso del chupete.

El chupete tiene menos efectos negativos sobre la boca del bebe, aún así tiene, veamos cuales son:

Mala alineación de los dientes: si la malposición de los dientes no es muy severa puede llegar a corregirse si el chupete se retira antes de los tres años de edad, cuando todavía no hay dientes definitivos que puedan estar afectados.

Mordida abierta: el uso del chupete en niños mayores de 4 años puede ocasionar una mordida abierta, al cerrar los dientes se queda un  hueco entre los dientes superiores e inferiores. La mordida abierta provocada por el chupete suele ser menos pronunciada que con la succión del dedo pulgar. (Dejo vídeo al final para que lo entendáis mejor)

Retraso del habla: en los niños que tienen el chupete todo el día se puede ver afectado el desarrollo del habla, y un retraso de la misma. La causa es que al tener el chupete hablan menos, y la tetina impide los movimientos naturales de la lengua que afecta a la pronunciación.
Consejos para quitar el chupete a un niño.

La edad adecuada para dejar el chupete es entre los 12 y los 24 meses, cuando el niño ya empieza a jugar solo y no depende tanto de la madre.

Tienes que hacerle saber al niño que el chupete ya no le beneficia y que poco a poco va a tener que deshacerse de él.

Cuéntale un cuento donde un día, con magia, el chupete desaparece…

Ofrécele un sustituto del chupete: El niño debe ser gratificado con otra cosa, para demostrarle que ha sido mayor y merece cosas de mayores.

No te enfades con él y no le grites ni lo compares con otros niños que ya han dejado el chupete. Cada niño tiene su ritmo.

Si por la noche está acostumbrado a dormir con el chupete ofrécele una alternativa, su muñeco favorito, algo suave….,

Y muy importante, vigila que al quitar el chupete no empiece a chuparse el dedo.
Y lo mismo que he comentado antes, ármate de paciencia ante berrinches por que tu hijo quiera recuperar su chupete, ha estado mucho tiempo con él y lo echa de menos pero no cedas, o en un segundo intento será mucho mas complicado.


Si vuestro hijo@ ya tiene alguno de éstos problemas en la boca, visita al dentista para que trate desde pequeño esas malformaciones. Pudiendo conseguir mejores resultados que siendo mayores.

Y esto es todo super papis, espero que os haya servido de ayuda la publicación  contadme como habéis logrado que vuestros hijos dejen éstos habitos, así podemos ayudar a otros papás.


Artículos que pueden interesarte. Cajas para guardar dientes de leche Miedo al dentista en niños

Fuente: este post proviene de Higienista en Casa, donde puedes consultar el contenido original.
¿Vulnera este post tus derechos? Pincha aquí.
Creado:
¿Qué te ha parecido esta idea?

Esta idea proviene de:

Y estas son sus últimas ideas publicadas:

Etiquetas: blogconsejos

Recomendamos

Relacionado

chuparse el dedo psicología infantil salud infantil ...

Es completamente normal que los bebés se chupen el dedo, pues es una conducta habitual y fisiológica que les da tranquilidad y les relajan, y aunque esta necesidad de succión no nutritiva puede sustituirse por un chupete, hay bebés que prefieren meterse el dedito en la boca lo que ocasiona Grandes problemas al chuparse el dedo Los grandes problemas al chuparse el dedo ocurren cuando este hábito se ...

aprendizaje y estimulación Bebés cuidados ...

En esta ocasión desde el blog de lacestitadelbebe.es vamos a tratar un tema difícil para los peques y los padres, como librarse del querido talismán que tanto les tranquiliza y les ayuda a dormir, no es otro que el chupete. niño con chupete Se trata de este objeto gracioso provisto de una tetina que al principio cuesta un poco de aceptar pero que pasado un periodo es imposible de separarse. Y es q ...

Bebés cuidados del bebe productos ...

Usar el chupete ideal para los bebés es esencial para evitar el riesgo de malformaciones dentales Los bebés poseen el instinto natural de succionar. Chuparse el pulgar es un gesto muy frecuente en ellos, ya desde el útero. Además de su función nutritiva, la succión tiene muchos efectos positivos sobre el bebé: le ayuda a relajarse y le proporciona seguridad y consuelo cuando lo precisa. El chupete ...

Consejos

Los bebés nacen con un reflejo arcaico de succión y búsqueda, es decir es una conducta normal que les permitirá alimentarse y crecer. El uso del chupete es un tema sumamente controversial. Aunque el hecho de que casi todas las madres prefieran que los niños usen chupete, ya que este objeto, que ocupa un lugar especial en el corazón de muchos niños, permite descargar la tensión, ofrece compañía y a ...

aprendizaje y estimulación babyshower Bebés ...

Ya prácticamente con las navidades encima y las restricciones por COVID, tendremos que ser cautas para pasar los días de fiesta de la mejor manera posible. El tiempo pasa muy rápido y nuestros pequeños van creciendo se acercan los dos años de edad y es hora de ir diciendo adiós al chupete. Desde el blog de lacestitadelbebe.es vamos a ofreceros una serie de consejos para que la despedida sea lo men ...

aprendizaje y estimulación Bebés cuidados ...

Pasan los meses y nuestros pequeños van creciendo se acercan los dos años de edad y es hora de ir diciendo adiós al tete. Desde el blog de lacestitadelbebe.es vamos a ofreceros una serie de consejos para que la despedida sea lo menos traumática posible. Ya que el chupete se habrá convertido en algo cotidiano de sus vidas que les calma y relaja. Bebé con chupete Este gracioso invento provisto de un ...

aprendizaje y estimulación Bebés cuidados ...

Diciembre pasa inexorablemente y ya prácticamente con las navidades encima y las restricciones por COVID, tendremos que ser cautas para pasar los días de fiesta de la mejor manera posible. El tiempo pasa muy rápido y nuestros pequeños van creciendo se acercan los dos años de edad y es hora de ir diciendo adiós al chupete. Bebé con chupete Desde el blog de lacestitadelbebe.es vamos a ofreceros un ...

Educación

Dejar el chupete es una etapa muy importante para el buen desarrollo del bebé. Aunque puede ser útil en los primeros meses, es fundamental abordar su abandono de manera adecuada para evitar problemas de salud y dependencia emocional. Hace unos años, cuando mis hijos eran pequeños, dudaba entre dejarles que se chuparan el dedo o darles el chupete, opté por la segunda opción, ya que sería más fácil ...

aprendizaje y estimulación Bebés cuidados ...

Se van acercando las festividades de Semana Santa y tendremos que ser cautas para pasar los días de fiesta de la mejor manera posible. El tiempo pasa muy rápido y nuestros pequeños van creciendo se acercan los dos años de edad y es hora de ir diciendo adiós al chupete. Desde el blog de lacestitadelbebe.es vamos a ofreceros una serie de consejos para que la despedida sea lo menos traumática posibl ...