En qué consiste la ecografía doppler


Imagen 1

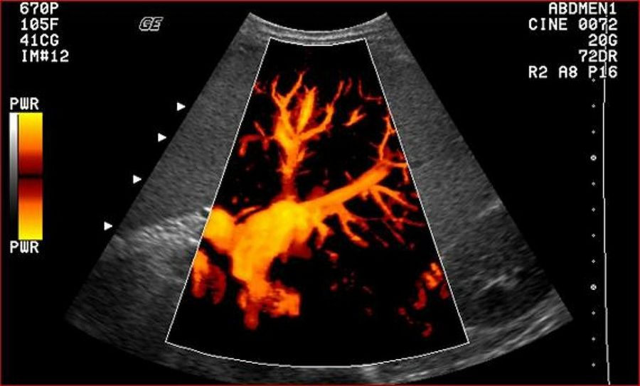
Una ecografía Doppler es un estudio por imágenes que utiliza ondas de sonido para mostrar la circulación de la sangre por los vasos sanguíneos. Las ecografías comunes también usan ondas de sonido para crear imágenes de estructuras internas del cuerpo, pero no pueden mostrar la sangre en circulación.
 
Debido a esta diferencia es por la cual se utiliza la ecografía doppler cuando existen serias sospechas o preocupación de que algo no va bien durante el embarazo, pues ayudan a detectar problemas graves que pueden poner en peligro la vida del bebé.

Como se explicó anteriormente, a través de esta ecografía se puede ver mediante color y sonido, el flujo de los vasos sanguíneos del bebé y algunos de la madre, con lo cual podemos saber la cantidad de sangre que bombea con cada latido, y la intensidad de la sangre que circula por el corazón del bebé. 
 
La ecografía Doppler permite observar de forma más detenida malformaciones en los fetos, incluyendo arterias desorganizadas y sus paredes débiles.

Imagen 0


Gracias a este control durante el embarazo podemos tener un diagnóstico precoz de cualquier anomalía de la salud fetal y así poder tomar precauciones a tiempo. Esta prueba suele realizarse cuando el bebé no está creciendo a buen ritmo o ha dejado de crecer, cuando hay poca cantidad de líquido amniótico, cuando se sospecha que hay una malformación en el corazón del bebé, cuando se prevé una enfermedad congénita y cuando se trata de un embarazo múltiple.

Fuente; letsfamily.es
Imagen: bebeguia.net y Phalinn Ooi / flickr


¿Te han realizado alguna vez una ecografía doppler?

 
¿Vulnera este post tus derechos? Pincha aquí.
Modificado:
¿Qué te ha parecido esta idea?

Recomendamos

Relacionado

general 12 semanas embarazo ecografía ...

La primera ecografía del embarazo, se haga en la semana que se haga, es siempre muy especial. Es la primera vez que ves a tu bebé y te convences de que realmente está creciendo dentro de ti. Es una sensación indescriptible. Si en mis anteriores embarazos pude disfrutar de la primera ecografía a las 8 semanas de gestación, en esta ocasión hemos tenido que esperar a las 12 semanas. Y, aunque se me h ...

primera ecografía ecografía prenatal ecografía ...

Seguidamente de conocer que estás embarazada y de enfrentar todos los cambios que esta noticia deriva (sea o no esperada) sigue uno de los momentos más significativos para toda futura mamá, el ver por primera vez a su bebé a través de la ecografía prenatal. La ecografía prenatal es un acontecimiento único para los padres, ya que representa el primer acercamiento visual con su hijo. La primera ecog ...

general 32 semanas embarazo 33 semanas embarazo ...

Me encuentro ya en la semana 33 y el final del embarazo se acerca estrepitosamente dejándome una sensación muy extraña, la de que, a pesar de todo, se me ha pasado volando y el momento crucial está a la vuelta de la esquina. A estas alturas de embarazo ha tocado de nuevo revisión ginecológica y la esperaba como agua de mayo. Al no estar haciendo el seguimiento también por privado solo tengo una ec ...

bebés embarazo

Hace un rato hemos ido al ginecólogo para hacer una ecografía. Ya sabéis que estoy muy angustiada desde que me enteré del embarazo y así no iba a llegar viva al día 20. Al llegar me ha tomado los datos y me ha pasado rápido al ecografo. Cuando no he visto nada pensaba que me moría!! Pero rápidamente hemos podido ver el saco y una cosita Blanca dentro que yo sabía que era mi pequeño sol. Lo ha medi ...

pruebas médicas ecografía de crecimiento embarazo ...

Es sabido que durante el embarazo, el crecimiento del feto puede ser afectado por muchos factores genéticos o ambientales. Lo habitual es que todo transcurra correctamente y nuestro bebé se desarrolle adecuadamente, pero, en algunos casos, se produce un retraso en el crecimiento intrauterino. Existen muchas causas, pero hay una forma para saber si sufrimos de retraso intrauterino. Podemos sospech ...

Embarazo Familia

Un gran porcentaje de padres primerizos no ha tenido nunca ninguna experiencia con las ecografías. Desde el momento embarazo hasta el día del parto, los padres primerizos comienzan un viaje lleno de nuevas experiencias y conceptos. Entran de lleno a conocer un nuevo mundo en muy pocos meses. Las ecografías: imprescindibles a lo largo del embarazo Las ecografías han comenzado a ser un nuevo término ...

aparatos médicos embarazo ecografía 4d

Uno de los avances más importantes en cuanto a técnicas diagnósticas es la ecografía 4d. Mediante este procedimiento se pueden obtener imágenes tridimensionales del bebé dentro del útero materno. La principal novedad que se introduce es que ahora la captura de imágenes se obtiene a tiempo real y en formato de vídeo, no de fotografía. Gracias a ello vamos a poder observar todo el comportamiento del ...

general

Vengo con nada menos una semana (y pico) de retraso a contar que decidimos hacernos la ecografía emocional a estas alturas del embarazo por la mera frivolidad de saber el sexo del bebé. Digo frivolidad de manera irónica, pues no me parece una frivolidad. Para mi lo importante en cada visita médica es saber que mi bebé está bien, pero es cierto que el momento de saber el sexo del bebé es muy especi ...

general 20 semanas embarazo ecografía 20 semanas embarazo ...

El embarazo va que vuela y hemos llegado a uno de sus momentos clave, las 20 semanas, cuando tiene lugar la ecografía morfológica. Hoy he acudido a ella, con mucha ilusión y no menos temor, porque siempre es maravilloso ver a tu bebé pero es imposible no sentir el temor a que algo no vaya bien. Es la sempiterna dicotomía del embarazo, sentir ilusión y miedo a partes iguales. ¿EN QUÉ CONSISTE LA EC ...

general oxitocina gch ...

Ya tocaba una nueva parte del diccionario de embarazadas, que hay muchas palabras aún por explicar para que no te pierdas nada si te acabas de sumergir en este nuevo mundo. Anteriormente descubrimos lo que significaba entre otras cosas qué es la toxoplasmosis, el triple screening, FUR... lo puedes volver a leer aquí. Pero hoy vamos a descubrir las hormonas más importantes que aparecen en el embara ...